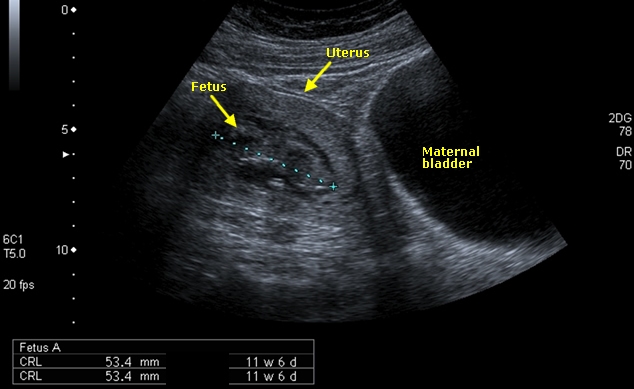
This scan has been performed transabdominally. Detail of the baby is not as clear but we can still see the head and body.
The uterus now extends above the bladder because it has enlarged and can probably be felt just above the bones of the pelvis. The bladder is now less useful for seeing the baby but remains important to look at the placenta. We shall cover this in a later session.
