Click on the links below.
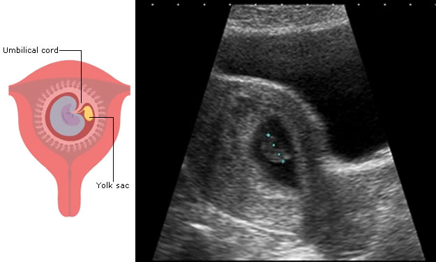
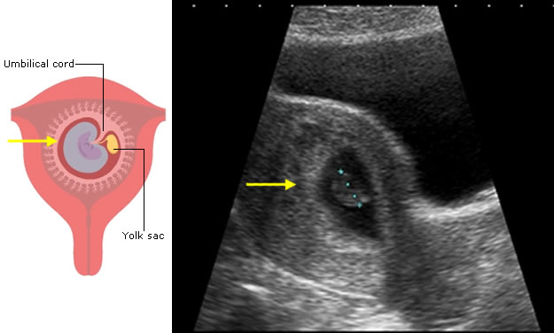
The first feature to be seen on ultrasound is the gestation sac, which will become the amniotic and chorionic sacs. These contain fluid and are seen as black on ultrasound.
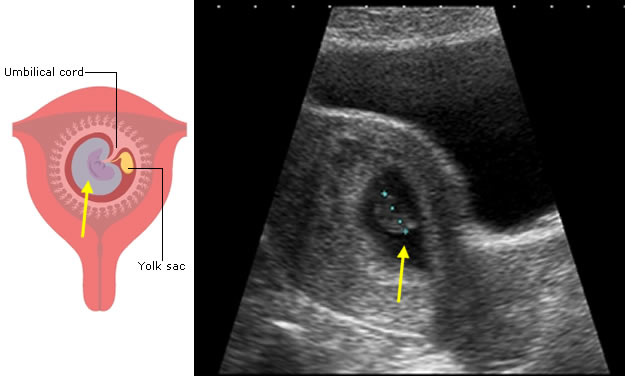
The trophoblast is specially modified embryonic tissue which allows the pregnancy to implant into the uterine wall. It is almost white on ultrasound and part of it will form the placenta.
The embryo itself is usually only seen after 6 weeks following the last period.
Note: in this ultrasound image of an early pregnancy, the sonographer has made a measurement of the length of the developing baby (dotted blue line). You will learn about this measurement later in this session.


