Click on the links below.
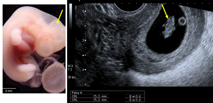
At 8 weeks, more and more parts of the anatomy start to become apparent such as the:
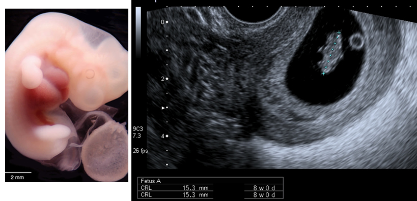
The embryo has grown by 5 mm, measuring the crown-rump length.

| Fig 1a Reproduced with kind permission from Brad Smith, University of Michigan; NICHHD: NO1 HD 6 3257 |

| Fig 1b Reproduced with kind permission from Brad Smith, University of Michigan; NICHHD: NO1 HD 6 3257 |

| Fig 1c Reproduced with kind permission from Brad Smith, University of Michigan; NICHHD: NO1 HD 6 3257 |

| Fig 1d Reproduced with kind permission from Brad Smith, University of Michigan; NICHHD: NO1 HD 6 3257 |