Presentation on Ultrasound

Presentation on Ultrasound

Click on the links below.

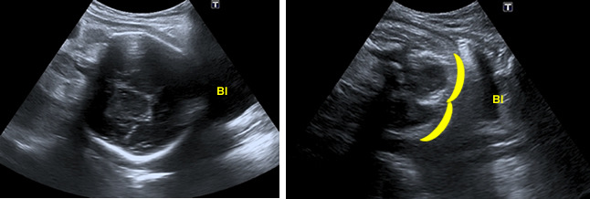
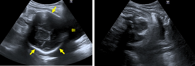
The lie or presentation of the baby is particularly important in late pregnancy, as the baby is less likely to change position. At this stage, certain critical features of the head and rump should allow you identify the presentation.

The fetal head is an oval structure. The bones of the skull produce bright echoes.

In the left image, you can see the bones of the skull of the fetus in the lower part of the uterus next to the bladder (bl). In the right image, the baby is in breech presentation. You can see the outline of the baby’s bottom next to the maternal bladder (bl).

Click here to remove the markers.

Zoom
Zoom
Zoom
Zoom
Top