Click on the links below.
In the normal fetus at about 20 weeks, the frontal bone and facial bones are clearly seen.
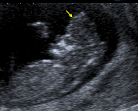
The anencephalic fetus demonstrates no clear frontal bone and often the facial bones may appear unusual also with the orbits appearing prominent – the so called 'frog-eyed appearance'. There may be some brain visible but this is variable. There is no bright skull vault covering the brain.
This image shows the facial view of an anencephalic fetus. Note the frog-eyed appearance. Also note that the skull vault is completely absent.








