Click on the links below.
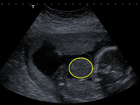
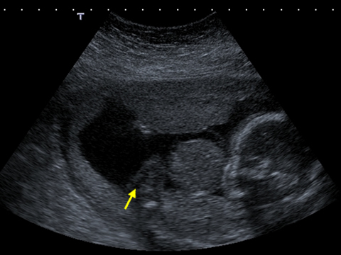
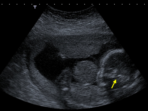
An abdominal wall defect is an abnormal type of hernia either through the cord insertion or by the side of the cord. In this ultrasound image, note the outline of the herniated contents outside the abdomen. The fetal spine and fetal stomach can also be seen.
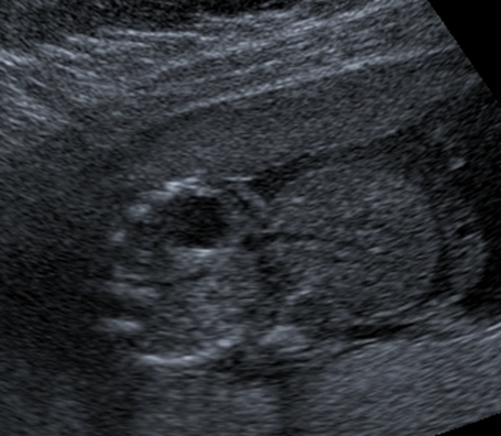
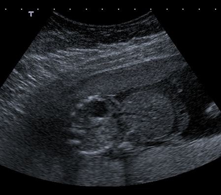
This axial scan through the fetal abdomen might lead you to believe that there are two babies lying side by side.
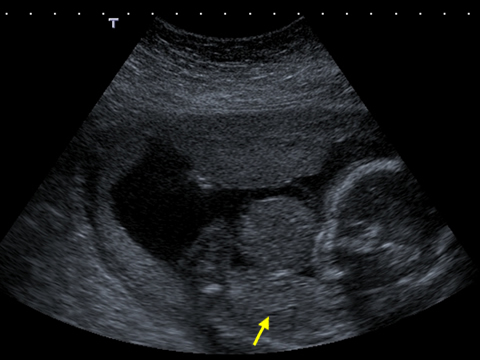
A long axis scan through the fetus shows the herniated liver coming from the anterior abdominal wall of the fetus. The fetal limbs, abdomen and head can also be seen.









